Nasal Polyp With Heterotopic Bone Formation (Osseous Metaplasia): A Case Report
DOI:
https://doi.org/10.31661/gmj.v2i2.58Keywords:
Ossification, Nasal polyp, Heterotopic, MetaplasiaAbstract
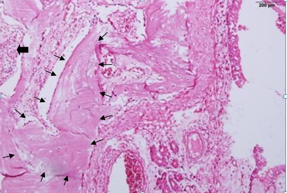
Osseous metaplasia is defined by the presence of heterotopic normal bone tissue in a soft tissue. Metaplastic ossification is a rare event in nasal polyps. The authors describe a rare case of bone formation in nasal polyp of a 28-year-old man with chronic right-sided nasal obstruction without history of trauma or allergy symptoms. To our knowledge, this finding has been reported in a few cases in the English medical literature.





