An Occipital Headache as the First Presentation of Multiple Third, Fourth, and Lateral Ventricular Cavernous Malformations: A Case Report and Review of Literature
DOI:
https://doi.org/10.31661/gmj.v6i1.666Keywords:
Multiple, Cavernous Malformations, Ventricular HemangiomasAbstract
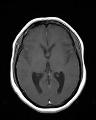
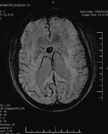
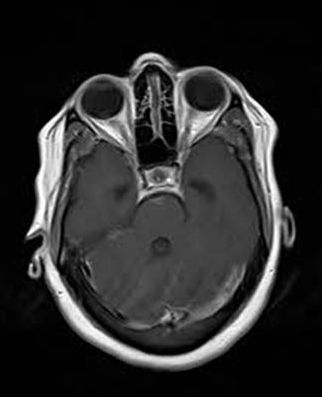
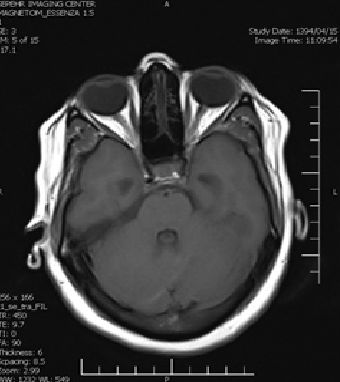
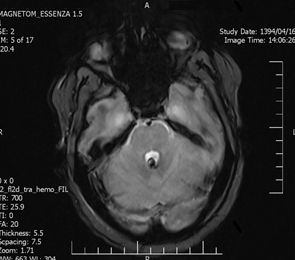
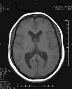
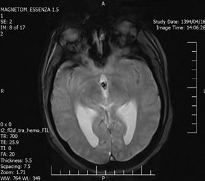
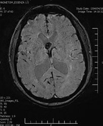
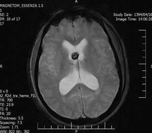
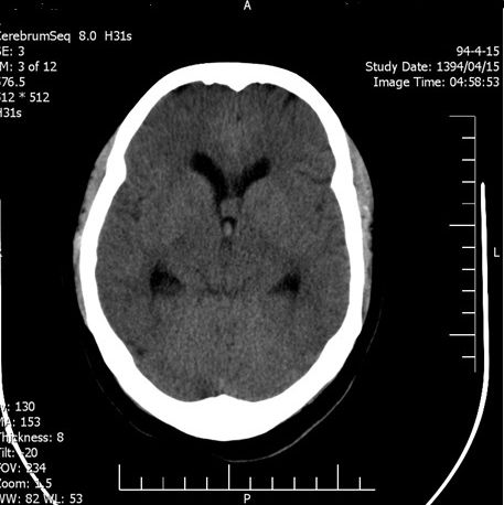
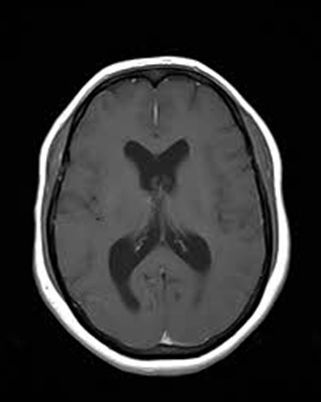
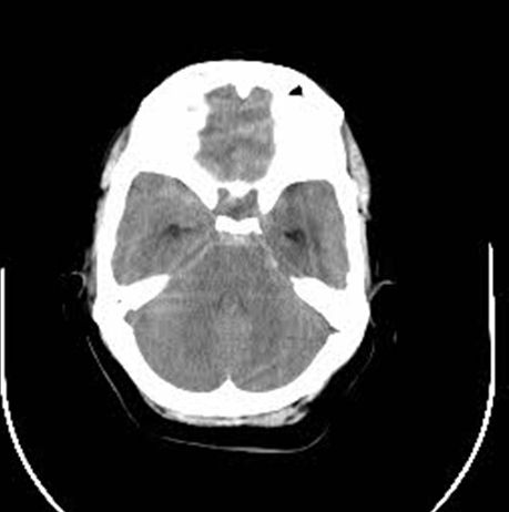
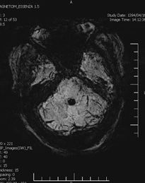
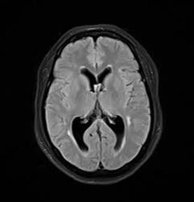
Background: Cavernous hemangiomas are common benign vascular malformations. Their existence in the intraventricular region is very rare. Case Reports: A 43-year old woman with an occipital headache was admitted to the emergency ward. Brain computed tomography scan showed mild hydrocephalus and multiple intraventricular isodense lesions. Imaging findings, especially of Gradient Resonance Echo imaging, were in favor of multiple intraventricular cavernous malformations. Conclusion: This is a rare presentation of multiple cavernous malformation as occipital headache without needing surgical intervention in this phase. Coexistence of periventricular plaques like Radiologically isolated syndrome of Multiple sclerosis is another unique aspect in this report. [GMJ.2017;6(1):61-65]





