Intracranial Mesenchymal Chondrosarcoma: Case Report and Review of Literature
DOI:
https://doi.org/10.31661/gmj.v5i4.703Keywords:
Central Nervous System Neoplasms, Primary Supratentorial Neoplasms, Mesenchymal Chondrosarcoma, Chondrosarcomas, MesenchymalAbstract
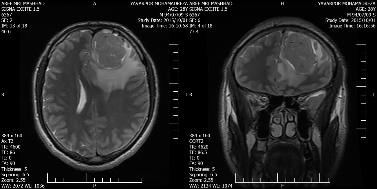
Background: Chondrosarcoma is a very rare brain tumor. Patients with mesenchymal chondrosarcoma have a worse prognosis and survival than other subtypes of brain chondrosarcoma. Case Report: A 29-year-old man underwent craniotomy because of a headache and blurred vision in his left eye lasting for 15 days. Pathologic examination revealed mesenchymal chondrosarcoma. Conclusion: Chondrosarcoma should be considered in the differential diagnoses of intracranial extra-axial hypo- and hypervascular tumors, especially in young patients. Surgical resection and radiotherapy are the preferred treatment for these patients.[GMJ.2016;5(4):219-24]





