Chronic Skin Lesions as the Presentation of Diffuse Cutaneous Leishmaniasis in the HIV-Infected Woman: A Case Report and Review of Literatures
DOI:
https://doi.org/10.31661/gmj.v8i.1294Keywords:
HIV, Infectious Disease Medicine, Leishmaniasis, Skin DiseasesAbstract
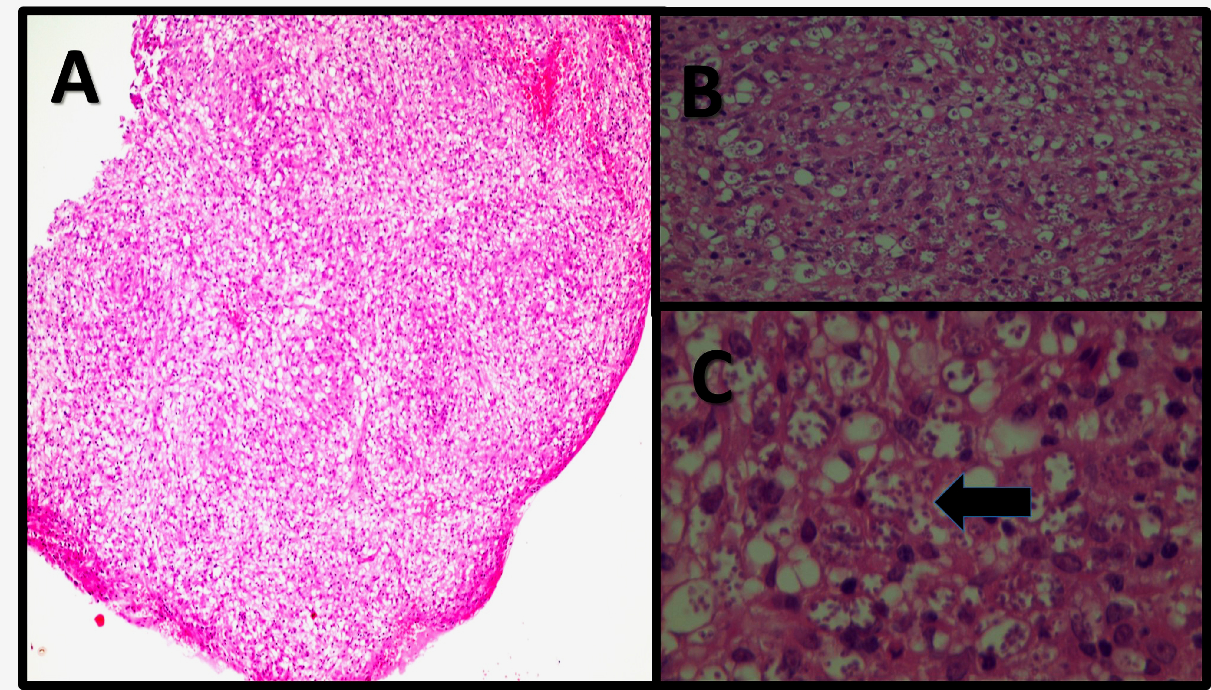
Background: Cutaneous leishmaniasis (CL) is the most form of leishmaniasis that caused by intracellular parasites, Leishmania. Case Report: A 39-year-old woman, known case of HIV infection, presented with a 6-month history of skin lesions initially on her face, then extending onto the chest, abdomen, and extremities. Laboratory examinations revealed leukopenia and a CD4 cell count of 280 cells / mm3. A biopsy was taken from skin lesions, and histopathological studies showed aggregates of macrophages filled with numerous Leishman bodies, the diagnosis of diffuse CL was confirmed. Consequently, she received liposomal amphotericin B (total dose of 40 mg/kg) as a case of diffuse CL. The skin lesions showed significant improvement after completion of treatment. Conclusion: Diffuse CL should be considered as a differential diagnosis in all patients with diffuse skin lesions mainly in the cases that suffer from disorders of cell-mediated immunity.[GMJ.2019;8:e1294]
References
Steverding D. The history of leishmaniasis. Parasit Vectors. 2017; 10(1): 82. https://doi.org/10.1186/s13071-017-2028-5PMid:28202044 PMCid:PMC5312593 Patrao NA, Bhat RM, Dandekeri S, Kambil SM. Diffuse cutaneous leishmaniasis in coexistence with leprosy. Int J Dermatol. 2015; 54(12): 1402-6. https://doi.org/10.1111/ijd.12954PMid:26266674 Holakouie-Naieni K, Mostafavi E, Boloorani AD, Mohebali M, Pakzad R. Spatial modeling of cutaneous leishmaniasis in Iran from 1983 to 2013. Acta Trop. 2017; 166: 67-73. https://doi.org/10.1016/j.actatropica.2016.11.004PMid:27836499 Moein D, Masoud D, Saeed M, Abbas D. Epidemiological Aspects of Cutaneous Leishmaniasis during 2009-2016 in Kashan City, Central Iran. Korean J Parasitol. 2018; 56(1): 21-4. https://doi.org/10.3347/kjp.2018.56.1.21PMid:29529846 PMCid:PMC5858664 Azeredo-Coutinho RB, Conceição-Silva F, Schubach A, Cupolillo E, Quintella LP, Madeira MF, et al. First report of diffuse cutaneous leishmaniasis and Leishmania amazonensis infection in Rio de Janeiro State, Brazil. Trans R Soc Trop Med Hyg. 2007; 101(7): 735-7. https://doi.org/10.1016/j.trstmh.2007.01.005PMid:17368698 França-Costa J, Van Weyenbergh J, Boaventura VS, Luz NF, Malta-Santos H, Oliveira MC, et al. Arginase I, polyamine, and prostaglandin E2 pathways suppress the inflammatory response and contribute to diffuse cutaneous leishmaniasis. J Infect Dis. 2015; 211(3): 426-35. https://doi.org/10.1093/infdis/jiu455PMid:25124926 Verma GK, Verma S, Shanker V, Singh G, Tegta GR. A rare case of diffuse cutaneous leishmaniasis in an immunocompetent patient from sub-Himalayan India. Trop Doct. 2012; 42(4): 237-9. https://doi.org/10.1258/td.2012.120316PMid:23138660 Coelho AC, Trinconi CT, Costa CH, Uliana SR. In vitro and in vivo miltefosine susceptibility of a Leishmania amazonensis isolate from a patient with diffuse cutaneous leishmaniasis. PLoS Negl Trop Dis. 2014; 8(7): e2999. https://doi.org/10.1371/journal.pntd.0002999PMid:25033218 PMCid:PMC4102453 Hashemi SA, Badirzadeh A, Sabzevari S, Nouri A, Seyyedin M. First case report of atypical disseminated cutaneous leishmaniasis in an opium abuser in Iran. Rev Inst Med Trop Sao Paulo. 2018; 60: e5. https://doi.org/10.1590/s1678-9946201860005PMid:29451599 PMCid:PMC5813668 Alborzi A, Pouladfar GR, Fakhar M, Motazedian MH, Hatam GR, Kadivar MR. Isolation of Leishmania tropica from a patient with visceral leishmaniasis and disseminated cutaneous leishmaniasis, southern Iran. Am J Trop Med Hyg. 2008; 79(3): 435-7. https://doi.org/10.4269/ajtmh.2008.79.435PMid:18784238
											
						




