Creutzfeldt-Jakob Disease Presenting with Dementia and Mimic a Stroke During One Year: Case Report and Review of Literatures
DOI:
https://doi.org/10.31661/gmj.v8i.1357Keywords:
Creutzfeldt-Jakob Disease, Incidence, DementiaAbstract
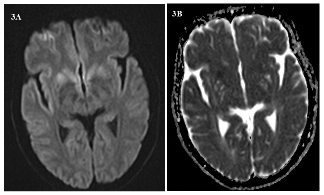
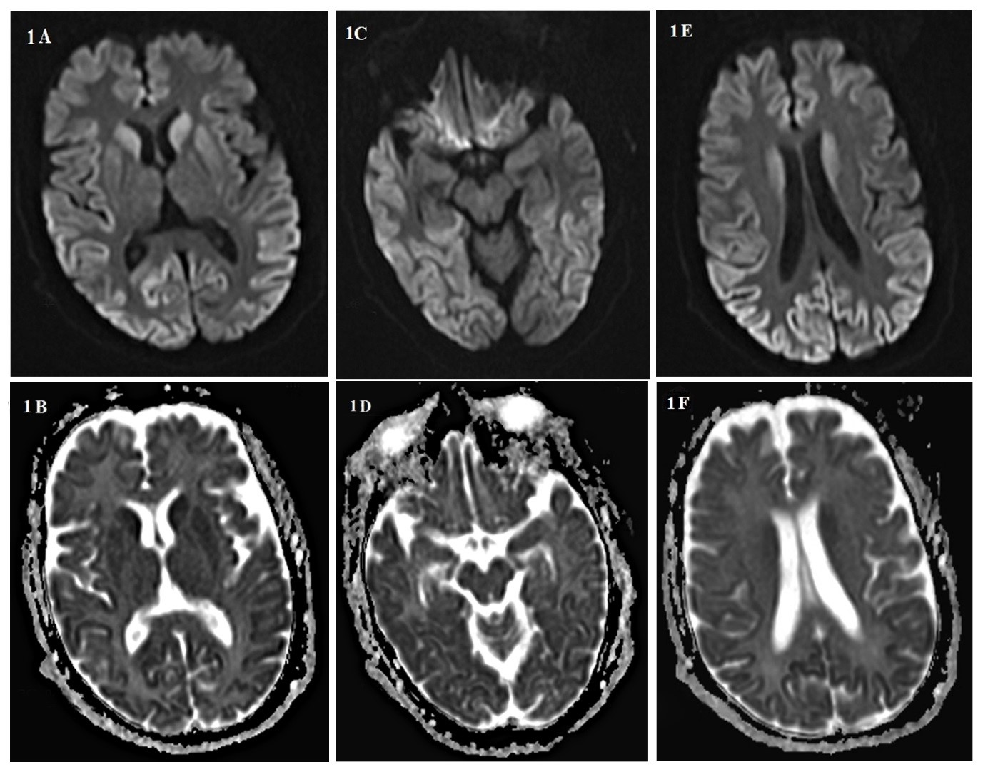
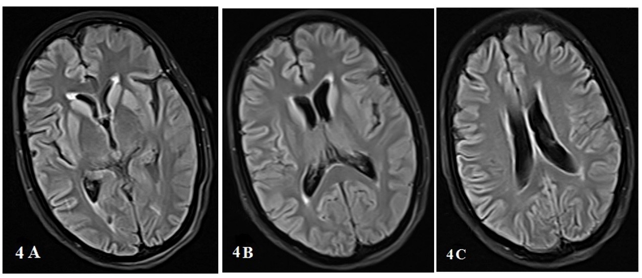
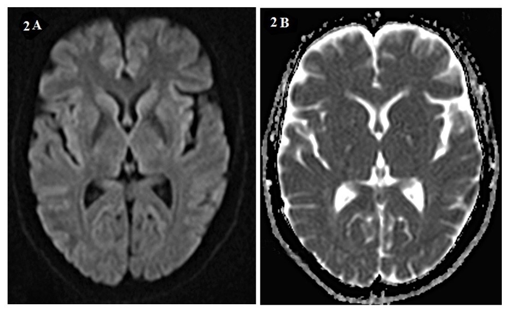
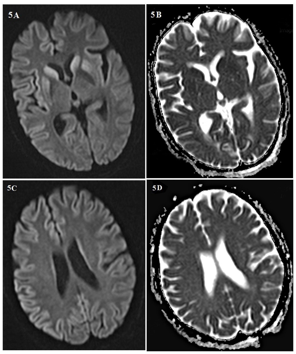
Background: Creutzfeldt-Jakob disease (CJD) is a progressive and fatal prion disease in human and its annual incidence is estimated one per million. Sporadic form of CJD is the most common form of the disease that involved 85% of cases. Case Report: We presented two cases of CJD with the different clinical presentation; a 58-year-old woman who referred with amnesia, depression and a 59-year-old woman with ataxia as her chief complaint. Based on the findings and roled-out the other differential diagnosis, the CJD was confirmed. Both of them died before 12 months after diagnosis. Conclusion: Although CJD is a rare disease with different clinical manifestation, it is considered as one the differential diagnosis of progressive dementia.[GMJ.2019;8:e1357]Â
Â
References
Perez DL, Murray ED, Price BH. Depression and psychosis in neurological practice. In: Daroff RB, Jankovic J, Mazziotta, JC, Pomeroy SL, Eds. Bradley's Neurology in Clinical Practice .7th ed. Elsevier Inc. 2016: 10, 92- 114.e4. Joneidi, N. (1999). Creutzfeldt-Jakob disease. (Unpublished doctoral dissertation). Ahvaz Jondishapour University of Medical Sciences. Ahvaz, Iran. Nikanfar M, Farhoudi M, Halimi M, Ashrafian-Bonab F, Mehrvar K. Creutzfeldt-Jakob disease presenting with confusion & visual disturbance. Arch Iran Med. 2007; 10(3):397-400. Nikkhah K, Saiedi M, Sadrenabavi R, Poorakbar E. Creutzfeldt-Jakob disease in an Iranian patient confirmed by brain autopsy. Iran J Med Sci. 2008; 33:124-126. Ghorbani A, Kahnouji H, Shafiei M, Yousefi N. Creutzfeldt-Jakob disease associated with non-sterile phlebotomy (case report). TUMJ. 2007; 65(3): 82-85. Salarian B, Ghajarzadeh M, Sarraf P. Creutzfeldt-Jakob disease, a case report. Acta Med Iran. 2014; 52(6):488-9. Shaygannejad V, Mahzooni P. Ataei kachooi M. A rare case of sporadic Creutzfeldt-Jakob disease in Isfahan, Iran. Journal of Research in Medical Sciences July & August. 2007; 12(4):226. Sharma DK, Boggild M, van Heuven AW, White RP. Creutzfeldt-Jakob disease presenting as stroke: A case report & systemic literature review. Neurologist. 2017; 22(2):48-53. https://doi.org/10.1097/NRL.0000000000000107PMid:28248914 Yaguchi H, Takeuchi A, Horiuchi K, Takahashi I, Shirai S, Akimoto S, et al. Amyotrophic lateral sclerosis with frontotemporal dementia (ALS-FTD) syndrome as a phenotype of Creutzfeldt-Jakob disease (CJD)? A case report. J Neurol Sci. 2017; 372:444-446. https://doi.org/10.1016/j.jns.2016.10.038PMid:27838004 Qavi AH, Imran TF, Hasan Z, Ilyas F, Ghani U, Assad S, et al. Serial magnetic resonance imaging in Creutzfeldt-Jakob disease: A case report & literature review. Cureus. 2017; 9(3):e1095. https://doi.org/10.7759/cureus.1095 Gonzalez DA, Soble JR, Corticobasal syndrome due to sporadic Creutzfeldt-Jakob disease: A review & neuropsychological case report. Clin Neuropsychol. 2017; 31(3):676-689. https://doi.org/10.1080/13854046.2016.1259434PMid:27871202 https://www.uptodate.com/contents/creutzfeldt-jakob-disease





