A Rare Case of Mullerian Adenosarcoma of Uterus in a 14-year-old Girl
DOI:
https://doi.org/10.31661/gmj.v3i4.161Keywords:
Uterine adenosarcoma, Female adolescent, Mullerian adenosarcoma, Uterine neoplasms.Abstract
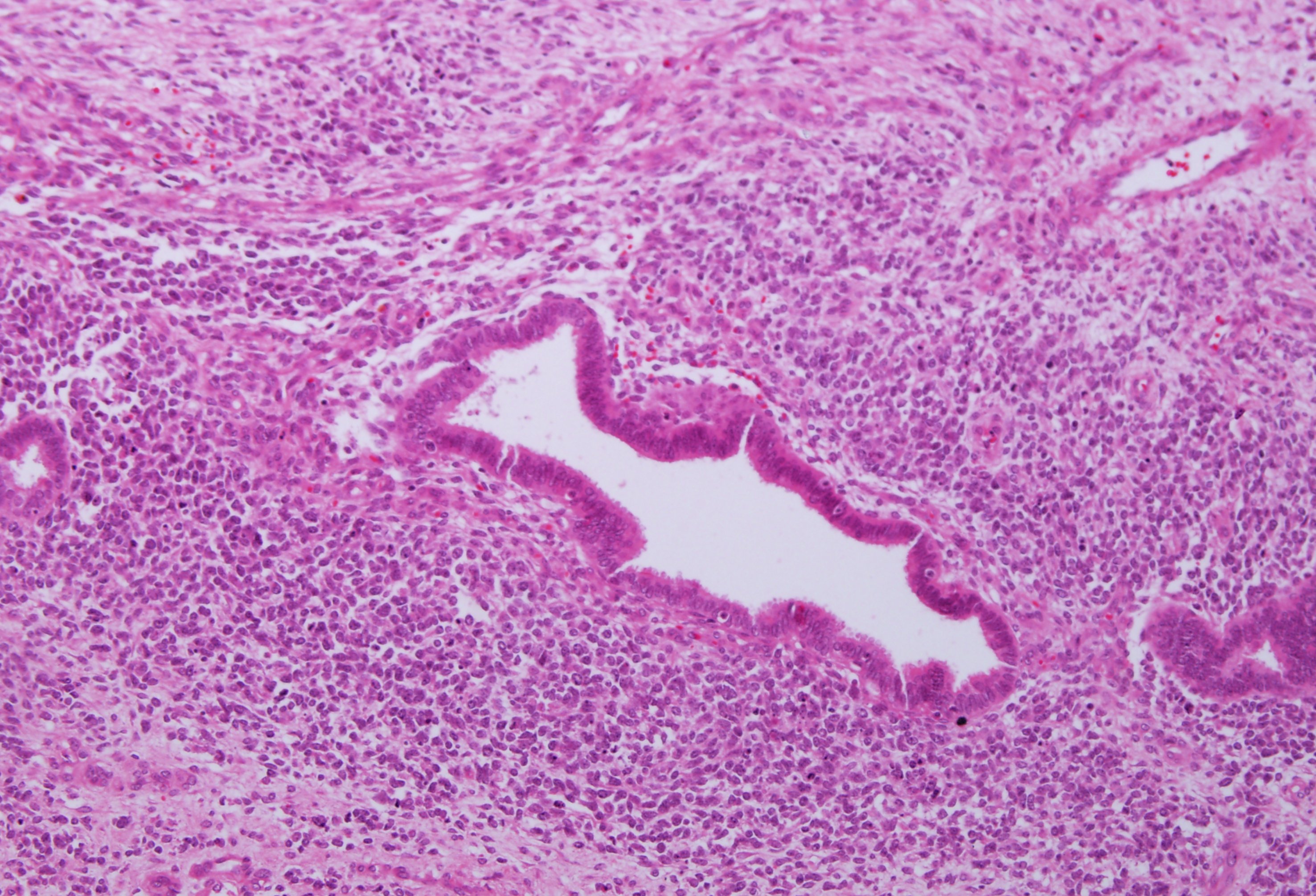
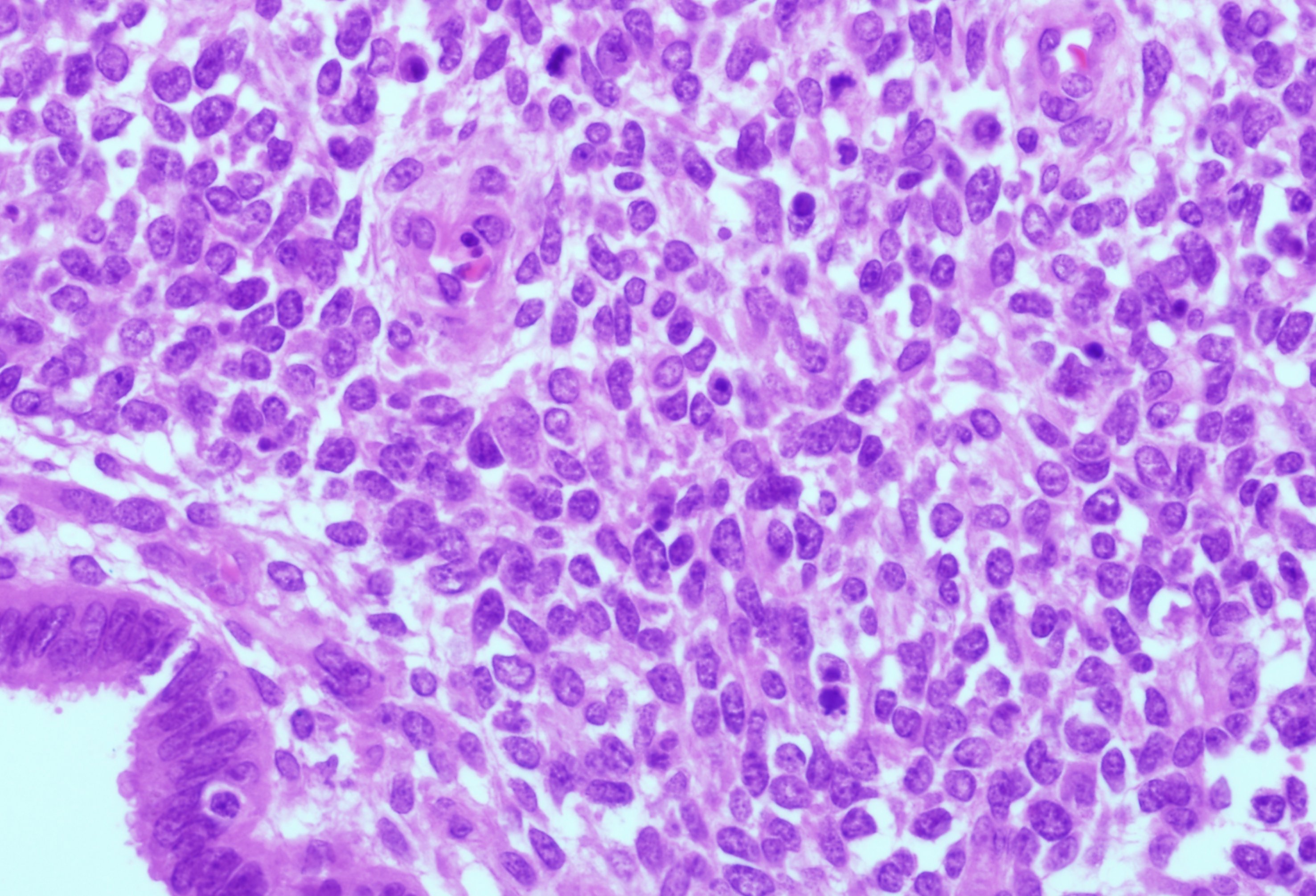
Background: Mullerian Adenosarcoma, a rare tumor, is composed of mixed mesenchymal and epithelial elements. The epithelial component is typically benign and admixed with malignant Sarcomatous Stroma. This tumor can be distinguished in approximately 8% of all uterus sarcomas and commonly originates in the endometrium as a growing polypoid mass in the uterine cavity. All age groups are affected but the average age of uterine Adenosarcoma is about 58. Case report: We aim to introduce a 14-year-old case of uterine Adenosarcoma as a rare occurrence, presenting with menometrorrhagia and formation of uterine fragile polypoid mass which extends into vagina. Total Abdominal Hysterectomy (TAH) and staging were performed. She had been clinically disease-free in a 40-month post operation follow-up. Distant metastasis is a very rare phenomenon, albeit the necessity of long-term follow-up seems necessary.Conclusion: Data accumulation of individual cases with such unusual neoplasm is essential for further experience provision.[GMJ.2014;3(4):256-9]





